
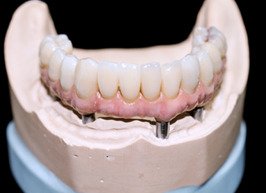
실제 치아 역할을 하는 인공 치아 부분.
금속 도재(PFM), 지르코니아, 올세라믹 등 다양한 재료로 제작됨.
자연 치아와 유사한 모양과 색상으로 제작되어 심미적, 기능적으로 우수함.

픽스처와 보철물을 연결하는 중간 구조물.
픽스처가 뼈에 안정적으로 자리 잡은 후 장착됨.
금속, 세라믹 등으로 제작되며, 보철물의 형태와 기능에 따라 다양한 디자인으로 제작.

임플란트의 뿌리 역할을 하는 부분으로, 잇몸뼈(턱뼈)에 식립.
티타늄 또는 지르코니아 같은 생체 친화적인 재료로 제작.
나사 형태로 되어 있어 뼈와 단단히 결합함(골융합)

※임플란트 임시보철물은 치조골이 튼튼하고 충분한 개수의 임플란트를 식립했을 때 가능합니다.

원데이 임플란트에 적합한지 진단

치아에 문제가 생겨 심각한 손상을 입은 경우 발치

발치한 즉시 보철물의 형태를 고려한 최적의 위치에 임플란트 식립

시술 당일부터 일상생활이 가능하도록 인공치아 부착






※정확한 적용 여부는 3D CT 기반 정밀 진단 후 결정됩니다.

치료 전 충분한 상담을 통해 환자의 건강상태, 기존 질환, 복용 약물 여부 등을 확인합니다.

개인별 맞춤 치료 계획을 수립, 필요 시 치료 범위를 단계적으로 나누어 진행합니다.

수립된 치료 계획에 따라 임플란트를 꼼꼼하게 식립합니다.

회복 상태를 확인하며 임시 보철물을 적용하고, 잇몸과 임플란트가 안정화되면 최종 보철물을 장착합니다.
Q치아가 하나도 없어도 전체 임플란트가 가능한가요?
Q임플란트는 몇 개를 심게 되나요?
Q치료 기간은 얼마나 걸리나요?
Q잇몸뼈가 부족해도 전체 임플란트가 가능한가요?
Q전체 임플란트 수명은 얼마나 되나요?

1정밀한 3D 진단과 맞춤형 치료 계획
2수술 시간 단축 및 빠른 회복
3오차 없는 정교한 시술
4최소 절개(무절개) 방식으로 안전한 수술
51DAY 임플란트 가능 (환자 맞춤 빠른 시술)
5환자 중심의 시스템과 진료

1맞춤형 설계로 최상의 심미성과 기능성
2잇몸과 완벽하게 밀착되어 위생적
3보다 안정적인 치아 교합(씹는 힘) 분배
4수명 연장 및 임플란트 실패 위험 감소
5디지털 기술을 활용한 정밀한 제작




상악동(위턱 뼈) 부위에 임플란트를 식립할 충분한 뼈가 없는 경우 시행하는 뼈이식 수술입니다.

잇몸뼈(치조골)가 부족하거나 약해 임플란트를 식립할 수 없는 경우 시행하는 뼈이식 수술입니다.


치아뿌리 방향으로 이식재가 들어갈 구멍을 뚫습니다.

전용 기구를 이용해 상악동의 점막을 들어올려 공간을 만들어 줍니다.

만들어진 공간에 골 이식재를 넣어 줍니다.

상태에 따라 거상술과 함께 임플란트를 식립하거나 골 이식 후 식립합니다.

상악동 측면 뼈 이식 예정 위치에 구멍(골창)을 뚫습니다.

상악동의 점막을 들어올리고 뼈이식 공간을 만듭니다.

만들어진 공간에 골 이식재를 넣어 줍니다.

상태에 따라 거상술과 함께 임플란트를 식립하거나 골 이식 후 식립합니다.

환자가 이해하기 어려운 부분은 3D 애니메이션 동영상과 시각적 자료를 활용해
상세하고 쉽게 설명드리며, 치료 과정을 보다 명확히 이해할 수 있도록 돕습니다.
치아와 잇몸 상태를 확인합니다.
뼈의 양, 밀도, 신경 위치 등을 정밀 분석하여 수술 계획을 세웁니다.
환자의 구강 구조를 디지털로 스캔하여 데이터를 수집합니다.
1정확한 데이터 수집
2빠른 스캔 시간
3환자의 편안함
4실시간 시각화
5정확한 맞춤 치료
6의료진과 기공사의 효율적인 협업
디지털 가이드를 설계하여 수술 중 오차를 최소화하고, 예측 가능한 치료 결과를 제공합니다.
0.1mm 오차도 허용하지 않는 로이스치과입니다
검증된 수술 키트
고성능 임플란트 엔진
수술실 고조도의 무영등
안정성 검증 정품 임플란트1임플란트 표면 활성화
2골유착 기간 단축
3 감염 위험 감소
4치료 성공률 향상

임플란트 뼈이식은 치아가 빠진 부위의 뼈가 부족하거나 약해 임플란트를 지지할 수 없는 경우에 시행됩니다.
임플란트 위에 장착될 인공 치아(보철물)를 제작하기 위해 구강 구조를 고성능 스캐너로 편하고 정확한 인상채득을 합니다.
보철 시기를 정확히 알려주는 골 동요도측정기를 사용하여 조기 보철 장착으로 인한 임플란트 실패 가능성을 줄이고 임플란트 보철 후 생길 수 있는 문제점을 미리 파악하여 안전하게 보철물을 장착합니다.
최첨단 장비와 디지털 기술로 맞춤형 지대주와 보철물을 환자의 치아 색상, 모양, 크기를 고려하여 자연스러운 보철물을 제작합니다.
최종 장착 : 보철물(지르코니아)을 임플란트 위에 연결하여 치료를 완료합니다.